Archivos de Categoría: Vacuna Covid-Efectos adversos
Reacciones adversas tras la vacunación con ARNm del SARS-CoV-2 en adolescentes noruegos
Abstracto La campaña de vacunación contra la COVID-19 en adolescentes en Noruega, iniciada en abril
Incidencia de infecciones respiratorias tras la pandemia de COVID-19 (2023-2024) y su asociación con la vacunación en poblaciones enteras de Corea.
Puntos destacados Los patrones de infección respiratoria cambiaron en la era posterior a la COVID-19.
Vacunación contra la COVID-19 y señales de cáncer posteriores a la infección: evaluación de patrones y posibles mecanismos biológicos
Abstracto Un número creciente de publicaciones revisadas por pares han informado sobre diversos tipos de
Un estudio de Stanford Medicine muestra por qué la vacuna de ARNm contra la COVID-19 puede causar miocarditis
Resumen Las vacunas de ARN mensajero (ARNm) contra el SARS-CoV-2 son altamente efectivas y fueron
Revacunación de personas con eventos adversos cardíacos después de la vacunación contra la COVID-19: un estudio de la Red Canadiense de Investigación en Inmunización
Abstracto Introducción: La miocarditis y la pericarditis son eventos adversos poco frecuentes tras la inmunización (EAPI)
Miriam Al Adib, ginecóloga: He visto alteraciones en la regla de mujeres tras el Covid y la vacunación
Hemos tenido que esperar hasta mediados de 2026 para poder leer en la prensa del
Eventos adversos graves de especial interés tras la vacunación con ARNm contra la COVID-19 en ensayos aleatorizados en adultos
Abstracto Introducción: En 2020, antes del lanzamiento de la vacuna contra la COVID-19, la Colaboración Brighton
FDA sugiere posible vínculo entre vacunas COVID‑19 y muertes infantiles
Un memorando interno de la Agencia de Alimentos y Medicamentos de Estados Unidos (FDA) ha
Investigación en Dinamarca detecta patrones inusuales tras la vacunación y pide más análisis
Un análisis estadístico realizado en Dinamarca ha detectado variaciones inesperadas en algunos diagnósticos registrados después
Alemania abre el debate sobre los síndromes post-vacunación
En Alemania, el debate sobre los síndromes post-vacunación ha dejado de ser marginal para convertirse
Diana Rodríguez: Perdí a mi hijo por la vacuna de Pfizer
Diana Rodríguez, mujer afectada por las vacunas covid, relata ante un congreso realizado en Madrid
Tribunal de Asti reconoce indemnización por daño neurológico tras vacuna COVID-19
Un tribunal civil en Asti, Italia, ha dictado una sentencia de primer grado que reconoce
Casi dos tercios de los receptores de la vacuna COVID-19 sufren complicaciones de salud un año después, según estudio del Consejo Indio de Investigación Médica en Nueva Delhi
Un estudio publicado el 10 de noviembre en Science Direct revela que casi dos tercios de los
Mecanismos inmunitarios adaptativos combinados median la lesión cardíaca tras la vacunación contra la COVID-19
Resumen ANTECEDENTES: La pandemia de COVID-19, causada por el SARS-CoV-2, ha propiciado la primera aprobación
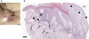
Un caso de carcinoma de mama metastásico en la piel que expresa la proteína de pico del SARS-CoV-2, posiblemente derivada de una vacuna de ARNm
A fecha de octubre de 2025, existe un caso clínico publicado que describe a una
Riesgos de cáncer a un año asociados con la vacunación contra la COVID-19: un gran estudio de cohorte poblacional en Corea del Sur
Abstracto El potencial oncogénico del SARS-CoV-2 se ha propuesto hipotéticamente, pero los datos reales sobre
La vacuna contra la COVID-19 BNT162b2 altera temporalmente la concentración de semen y el recuento total de semen móvil entre los donantes de semen
Abstracto Antecedentes: El desarrollo de las vacunas contra la COVID-19 representa un logro científico notable. Sin
Me enfermé después de la vacuna del Covid. Testimonio de Marcela Quintero
En este episodio conoceremos la historia de Marcela Quintero, una mujer que ha vivido en
Aumento significativo del exceso de muertes tras la vacunación repetida contra la COVID-19 en Japón
Kakeya H, Nitta T, Kamijima Y, Miyazawa T. Significant Increase in Excess Deaths after Repeated
Testimonios de afectados por las vacunas COVID-19
Las voces de los afectados por las vacunas Covid han sido minimizadas o ignoradas por
El Proyecto de Testimonios – testimonios de víctimas tras la vacunación contra el covid
El Proyecto de Testimonios se creó para proporcionar una plataforma para todos aquellos que se
Las cifras de la vacuna contra la COVID-19 en Reino Unido se actualizan un año después y el número de muertos es de casi 3.000
Por Kathy Gyngell Hemos esperado un año entero para que la Agencia Reguladora de Medicamentos
Ayuda a Ona para sobrevivir con Covid Persistente postvacuna
Ona es una mujer de 33 años que, tras vacunarse el 3 de marzo
Tras dos dosis de la vacuna de ARNm contra la COVID-19 de Pfizer-BioNTech (BNT162b2), se producen cambios en el endotelio corneal a corto plazo
Evaluación de los efectos de las vacunas ARNm-COVID-19 en el endotelio corneal ABSTRACTO Objetivo El
La vacunación repetida contra la COVID-19 como factor de mal pronóstico en el cáncer de páncreas: un estudio de cohorte retrospectivo de un solo centro
Resumen simple Se sabe que la vacunación repetida contra la COVID-19 aumenta la inmunoglobulina G4
En la República Checa, las tasas de concepciones exitosas fueron sustancialmente más bajas en las mujeres vacunadas contra la COVID-19
Tasas de éxito en la concepción según el estado de vacunación contra la COVID-19: datos
Existen señales de seguridad alarmantes con respecto a las afecciones neuropsiquiátricas tras la vacunación contra la COVID-19
Asociación entre la vacunación contra la COVID-19 y las enfermedades neuropsiquiátricas Abstracto Introducción: Este estudio explora
Transtornos mentales en el síndrome post-COVID (PCS) y el síndrome post-vacunación COVID-19 (PCVS): resultados de una encuesta poblacional representativa
Resumen Se han observado similitudes entre los trastornos mentales del síndrome post-COVID (SPC) y los
Vacunas contra la COVID-19 y trastornos autoinmunes: un protocolo de revisión exploratoria
Resumen Dos años después del inicio de la campaña mundial de vacunación, han surgido preguntas
